Diagnóstico neurológico | |||||||||
Radiografía con contrastes: mielografía por saco dural | |||||||||
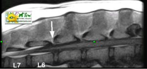
![]() por Juan M. Griñán. Veterinario ![]() comparativa entre una mielografía (mostrando la aguja) y una resonancia magnética, secuencia SE T1w (mostrando donde está el saco dural, sitio para la inyección del contraste). Nótese la extravasación del contraste yodado en la mielografía. | |||||||||


miles de casos clínicos














