Diagnóstico neurológico | |||||||||
Radiografía simple (sin contrastes) | |||||||||
![]() por Juan M. Griñán. Veterinario | |||||||||
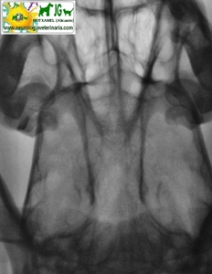
Radiografía digitalizada de cachorro de Siberian Husky con severo trauma craneal |
Radiografía digital (no digitalizada) de un cocker inglés mostrando el diente del axis. |
|
|
|


miles de casos clínicos













